Una investigación del Instituto de Salus Carlos III (ISCIII) ha utilizado la herramienta de edición genética CRISPR para explorar un posible tratamiento para una enfermedad muscular muy poco común y sin cura, la distrofia muscular congénita asociada al gen LMNA (abreviada como L-CMD). El estudio, liderado por un equipo del Instituto de Investigación de Enfermedades Raras (IIER), se ha publicado en la revista Molecular Therapy Advances.

Los resultados de este trabajo, llevado a cabo en modelos celulares y animales, sugieren un aumento de la supervivencia en esta patología sin cura, y representan la primera validación terapéutica de una estrategia de edición génica mediada por CRISPR-Cas9 para tratar la L-CMD.
La distrofia muscular congénita asociada al gen LMNA es un trastorno genético raro, actualmente incurable, que se caracteriza por debilidad muscular de aparición temprana, problemas cardiacos como la miocardiopatía dilatada e insuficiencia respiratoria. Se trata de una patología monogénica, es decir, causada por mutaciones en un solo gen.
La edición genética CRISPR, especialmente prometedora para tratar este tipo de patologías, se basa en un mecanismo de ‘tijeras moleculares’ para modificar el ADN con precisión; permite cortar, eliminar o reemplazar secuencias específicas del genoma, lo que abre grandes vías para tratar enfermedades genéticas.
El equipo del ISCIII, liderado por el doctor Ignacio Pérez de Castro, ha evaluado el potencial de CRISPR para eliminar la mutación más frecuentemente asociada a esta enfermedad, Lmna c.745C>T, p.R249W, utilizando para ello una guía específica, denominada sg745T. En modelos celulares, portadores de la citada alteración genética, han confirmado que el complejo Cas9/sg745T muestra una actividad específica hacia este alelo mutado dependiente de la dosis utilizada.
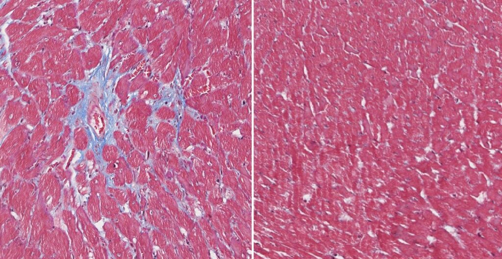
Tras los resultados in vitro, análisis en un modelo de ratón confirmaron el potencial de esta estrategia gracias a la administración de la terapia usando virus adenoasociados en ratones portadores de la mutación causante de la enfermedad. La terapia aplicada a estos avatares murinos de pacientes humanos mejoró de manera significativa la patología cardiaca asociada a la enfermedad, lo que permitió incrementar la supervivencia media de los animales en más de un 20%. Este resultado adquiere especial relevancia si se considera que menos del 10% de los cardiomiocitos fueron editados por la maquinaria CRISPR en los animales tratados.

El doctor Pérez de Castro explica que este estudio supone un primer paso hacia el desarrollo de una terapia capaz de aumentar la supervivencia y, potencialmente, curar la L-CMD. Asimismo, refuerza el potencial de la terapia génica basada en CRISPR para el abordaje de enfermedades raras como las laminopatías.
«Aunque la eficiencia de edición obtenida hasta ahora es limitada, los resultados son prometedores y han superado nuestras expectativas. Ya estamos trabajando para superar estas barreras mediante el uso de editores evolucionados y la optimización de los sistemas de entrega de los complejos CRISPR. Nuestro objetivo es desarrollar una terapia de precisión que beneficie al mayor número posible de pacientes con esta enfermedad rara y que, además, sirva como plataforma para futuros tratamientos personalizados dirigidos a portadores de otras mutaciones en el gen LMNA o a pacientes con distrofias musculares causadas por mutaciones puntuales en otros genes».
Fuente: ISCIII
